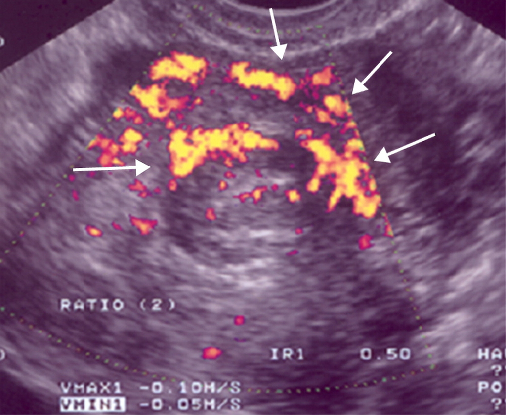
Miomi maternice

Miomi maternice


Loading…
Loading the web debug toolbar…
Attempt #